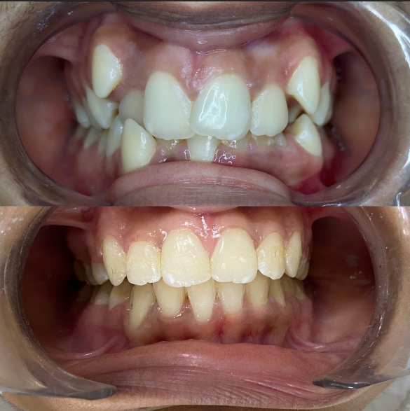
Class I Severe Crowding
- Orthotrain

- Sep 12, 2025
- 1 min read
A case of all first premolars extraction


Dr. Riaz travelled all the way from Bangladesh for all his modules. He is now delivering hundreds of beautiful smiles and has shown that distance is just a number when you have the passion to learn and excel.
Class I Severe Crowding
Non extraction case

Class I Spacing
Non extraction case

High Placed Canine
Non extraction case

Class I Severe Crowding
A case of all first premolars extraction






Comments